
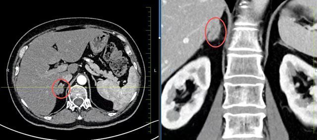
近日,长春国文医院成功为一名58岁右侧肾上腺肿瘤合并2型糖尿病患者,实施达芬奇机器人辅助腹腔镜手术。
依托达芬奇手术机器人的高精度操控与灵活稳定的机械臂,在确保肿瘤完整切除的同时,最大程度降低了手术创伤与应激反应,为合并糖尿病患者的安全康复提供了有力保障。


患者因右侧肾上腺肿瘤伴血肿入院,合并2型糖尿病且血糖控制不佳。
手术是肾上腺肿瘤主要治疗方式,针对患者年龄偏大、基础疾病复杂、对手术创伤耐受性差等特点,依托达芬奇机器人精准操作,最大限度减少对正常组织的损伤,助力患者快速康复。

展博优配提示:文章来自网络,不代表本站观点。